Dysplasie des coudes
Qu'est-ce que la dysplasie du coude ?
- La dysplasie du coude est un terme général regroupant un ensemble d'affections, toutes responsables d'une évolution de cette articulation vers l'arthrose. Il s'agira de 4 grands types d'affection :
- L'ostéochondrite dissécante.
- La non-union du processus anconé.
- La fragmentation du processus coronoïde.
- L'incongruence du coude.
- C'est une affection que l'on retrouve chez l'Altdeutsche Schäferhunde, tout comme chez les chiens de race moyenne à grande
Quelle en est la cause?
Les avancées scientifiques ont démontré que l'apparition de la dysplasie du coude résulte de l'interaction de plusieurs facteurs. Deux grandes causes principales sont identifiées : une prédisposition génétique et des influences environnementales. Ces dernières incluent, par exemple, une alimentation inadéquate, une activité physique excessive pour l'âge de l'animal, ou encore des traumatismes survenus pendant la croissance — autant d'éléments susceptibles de favoriser le développement d'une dysplasie.
Quels sont les symptômes de la dysplasie du coude?
Le diagnostic de la dysplasie du coude peut s'avérer complexe et être retardé, en raison de la variabilité et du caractère souvent atypique des symptômes. Ces derniers peuvent se manifester dès l'âge de 4 à 5 mois, ou plus tard, après la fin de la croissance, en fonction de la gravité de l'atteinte. Une boiterie des membres antérieurs, unilatérale ou bilatérale, peut être observée. Au fur et à mesure de l'évolution arthrosique, des douleurs à la flexion ou à l'extension de l'articulation peuvent survenir, bien qu'elles ne soient pas systématiques.
Comment diagnostique-t-on une dysplasie du coude ?
- Dès l'apparition des premiers signes cliniques mentionnés précédemment, l'UCFAS recommande de consulter rapidement votre vétérinaire. Le diagnostic repose sur un examen clinique associé à des investigations radiologiques :
- Clinique : examen de votre AS, mise en place d'antalgiques, etc.
- Radiologique : réalisation de clichés radiographiques des coudes droits et gauches (comparatifs) sous anesthésie générale.
- Scanner : plus précis, mais il existe une marge d'erreur de 15%, et plus cher.
- Une arthroscopie peut être envisagée : plus invasive, mais plus précise, en cas de suspicion de fragmentation du processus coronoïde ou d'ostéochondrite dissécante.
Un AS sous anesthésie générale pour ses radiographies
Comment réaliser des radiographies pour votre Altdeutsche Schaferhunde ?
- Consultez votre vétérinaire :
- Dès que vous suspectez une dysplasie du coude, afin d'établir un diagnostic rapidement
- Si vous envisagez de faire reproduire votre animal, à partir de l'âge de 12 mois révolus.
- Les radiographies sont réalisées sous anesthésie générale à la clinique vétérinaire.
- Elles sont ensuite transmises au lecteur officiel de l'UCFAS, conformément au protocole décrit ci-dessous :
- Protocole de radiographies hanches, coudes et VTL (PDF)
- Courrier de demande de lecture (PDF)
- Attestation de contrôle de puce électronique ou tatouage (PDF)
- Un exemplaire des résultats est également adressé au club UCFAS.
- Les résultats officiels vous sont renvoyés après lecture par le vétérinaire référent de l'UCFAS, le Pr. Genevois.
L'analyse des radiographies permet de classer la dysplasie en 4 stades, de 0 (absence totale de dysplasie) à 3 (dysplasie sévère), en passant par les stades 1 et 2.
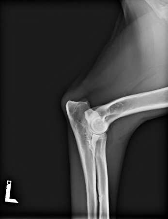
Radiographie d'un coude gauche d'un AS
Comment traite-t-on une dysplasie du coude ?
Il existe deux grands types de traitement à mettre en œuvre en cas de dysplasie du coude. Ces types de traitement sont bien évidemment à discuter au cas par cas avec votre vétérinaire, chaque chien étant différent.
- Traitements médicaux : Ce sont les traitements habituels de l'arthrose :
- Antalgiques, anti-inflammatoires.
- Compléments alimentaires retardant le développement de l'arthrose : « chondroprotecteurs ».
- Alimentation équilibrée et poids stable sans excès.
- Exercice physique régulier et adapté (par exemple, la nage).
- Ostéopathie et acupuncture peuvent être des soutiens adaptés.
- Traitements chirurgicaux : Ils ne seront décidés qu'au cas par cas, en fonction du type de dysplasie, de sa sévérité, de la gêne induite et du retentissement sur votre Altdeutsche Schaferhunde. Contactez votre vétérinaire pour plus de renseignements. En cas de chirurgie, celle-ci peut être proposée tôt, le plus précocement possible, dans l'objectif de limiter les atteintes de l'arthrose sur l'articulation. L'objectif d'une telle chirurgie est de diminuer la boiterie et surtout de retarder le développement de l'arthrose au niveau de la hanche.
Quelle prévention mettre en place ?
Comme mentionné précédemment, la dysplasie du coude est en partie liée à une prédisposition génétique. Afin de limiter cette prédisposition chez les Altdeutsche Schäferhunde (AS), l'UCFAS a instauré l'obligation de radiographier tous les reproducteurs, mâles et femelles, pour exclure de la reproduction les sujets atteints.
Étant donné que cette maladie repose principalement sur un facteur héréditaire (selon le Pr J-P Genevois), l'UCFAS considère qu'une sélection stricte des reproducteurs est essentielle pour améliorer la race des AS. Cette sélection rigoureuse, efficace uniquement si elle est maintenue sur le long terme, s'impose comme une mesure nécessaire.
Dans plusieurs races et pays, des mesures similaires visant à écarter les animaux atteints de la reproduction ont permis de réduire l'incidence de la dysplasie du coude. L'UCFAS s'engage à suivre cette voie et à diminuer la fréquence de cette maladie grâce à une sélection rigoureuse des reproducteurs, conformément aux recommandations du Pr J-P Genevois.
- Sélection individuelle : choix des reproducteurs en fonction de leur statut radiologique.
- Sélection généalogique : choix en fonction des informations sur les coudes des parents et des grands-parents des reproducteurs.
- Sélection des collatéraux : se renseigner sur le pourcentage de frères et sœurs de portée ayant des coudes sains.
- Sélection des descendants : information sur l'état des coudes des descendants des reproducteurs issus de portées précédentes (mâles ou femelles).
Il est important de rappeler que, compte tenu de la complexité génétique de la dysplasie du coude, il peut arriver, même chez les éleveurs les plus rigoureux, qu'un individu dysplasique apparaisse ponctuellement au sein de lignées considérées comme « saines » depuis plusieurs générations.
Comme le souligne le Pr J-P Genevois : « Plusieurs études ont démontré que seule une politique de dépistage et de contrôle rigoureuse, menée sur le long terme, permet d'obtenir des résultats concrets, même si ces derniers sont lents et progressifs ».
C'est pourquoi l'UCFAS s'est engagée dans une politique de dépistage pertinente et durable pour lutter contre la dysplasie du coude.